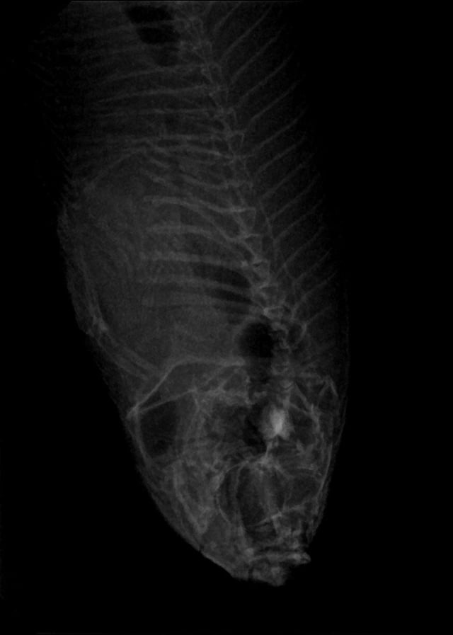
This is what happens when you work at a vet clinic and have a clinic betta…

https://www.reddit.com/gallery/1ptc2l2

Posted by Bulky_Special1212

3 Comments

  1. Bulky_Special1212 on

    Oh and we ended up having to take his photos with the dental x-ray. The table was just too big to get clarity

Leave A Reply